Cabinet dentaire des Drs HIRSBEIN et SCHMITT
Chirurgiens-Dentistes à AUBERGENVILLE
Cabinet dentaire des Drs HIRSBEIN et SCHMITT
Chirurgiens-Dentistes à AUBERGENVILLE

2 Rue de l'Octroi
78410 AUBERGENVILLE

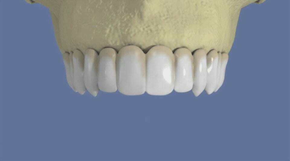
Maxillaire : bridge vissé sans fausse gencive


video-play-icon

Articles similaires

Création par Webdentiste

Connexion